Hãy để lại số điện thoại để nhận tư vấn
Một tin đáng mừng là không có nhiều người mắc bệnh ung thư xương! Cũng giống với nhiều loại ung thư khác, trong giai đoạn sớm, bệnh thường tiến triển thầm lặng và không có triệu chứng rõ ràng.
Ung thư xương thường được phát hiện ở trẻ em và trẻ vị thành niên từ 9-19 tuổi. Không chỉ gây ảnh hưởng nghiêm trọng đến tính mạng, bệnh còn làm giảm chất lượng cuộc sống của bệnh nhân.
Chính vì vậy, bạn không nên bỏ qua những kiến thức hữu ích trong bài viết dưới đây.

Ung thư xương xảy ra khi xuất hiện khối u ác tính được hình thành bên trong xương. Khối u này tiến triển rất nhanh chóng, gây ảnh hưởng đến mô xương và làm chèn ép hệ thống cơ xương khớp và các mô xung quanh.
Ung thư xương có thể xảy ra ở bất kì đâu trên cơ thể, nhưng nó thường xuất phát từ xương chậu hoặc xương dài ở tay và chân.
Những người trẻ tuổi có thể bị ảnh hưởng bởi sự phát triển trong tuổi dậy thì nhanh chóng có thể làm cho các khối u xương phát triển.
Ung thư xương được chia thành 3 loại phổ biến dựa trên loại tế bào nơi ung thư bắt đầu bao gồm:
U xương là loại ung thư xương dễ mắc nhất. U xương thường xảy ra ở trẻ em và thanh thiếu niên, nó bắt đầu từ trong xương của chân hoặc cánh tay. Trong một số trường hợp hiếm, u xương có thể phát sinh bên ngoài xương (u xương ngoài xương).
Chondrosarcoma chính là loại ung thư xương phổ biến thứ hai sau u xương. Loại ung thư này thì các tế bào ung thư tạo ra sụn và thường xuất hiện ở chân hoặc tay, xương chậu của người trung niên và lớn tuổi.
Các khối u sarcoma thường phát sinh ở xương chậu, chân hoặc tay của trẻ em và thanh niên.

Trong một số trường hợp, bác sĩ chưa nhận định được tại sao người bệnh có thể phát triển ung thư xương.
Tuy nhiên, theo các chuyên gia, căn bệnh có thể xảy ra nếu liên quan đến một số yếu tố như sau:
Các triệu chứng ung thư xương có thể bao gồm:
Khi bệnh ngày một tiến triển nặng hơn, sẽ xuất hiện những triệu chứng cụ thể như:
Hiện nay, có một số phương pháp chẩn đoán ung thư xương như sau:
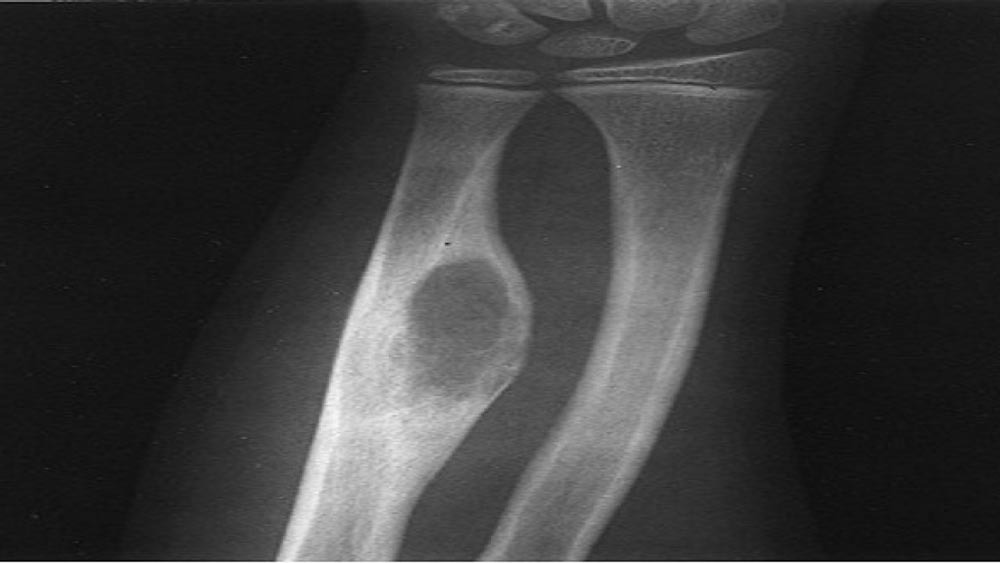
Chụp X-quang bác sĩ thường có thể phát hiện tổn thương xương do ung thư hoặc xương mới phát triển do ung thư. Họ cũng có thể xác định các triệu chứng của bạn có phải do nguyên nhân khác chẳng hạn như gãy xương (gãy xương).
Cách chẩn đoán ung thư xương có độ chính xác cao nhất đó là lấy một mẫu xương bị ảnh hưởng và gửi đến phòng thí nghiệm để kiểm tra. Sinh thiết có thể xác định chính xác loại ung thư xương và mức độ của nó.

Sinh thiết có thể được thực hiện theo 2 cách:
Chụp MRI sử dụng sóng vô tuyến và từ trường mạnh để bác sĩ thấy hình ảnh chi tiết về xương và mô mềm. Chụp MRI cũng là một cách hiệu quả để đánh giá kích thước và sự lây lan của bất kỳ khối u ung thư nào trong xương.
Chụp CT bao gồm chụp một loạt tia X và sử dụng máy tính để tập hợp chúng lại thành hình ảnh ba chiều (3D) chi tiết của cơ thể bạn. Chụp CT thường được sử dụng để kiểm tra xem tế bào ung thư đã di căn đến những bộ phận nào của cơ thể.
Chụp cắt lớp xương có thể cung cấp thông tin chi tiết về bên trong xương của bạn hơn là chụp X-quang. Trong quá trình quét xương, một lượng nhỏ chất phóng xạ được tiêm vào tĩnh mạch của bạn.
Nếu bạn mắc loại ung thư xương gọi là Ewing sarcoma, bác sĩ có thể làm xét nghiệm sinh thiết tủy xương để kiểm tra xem ung thư đã lan đến tủy xương (mô bên trong xương) hay chưa. Một cây kim được đưa vào xương của bạn để loại bỏ một mẫu tủy xương của bạn. Điều này có thể được dưới thực hiện gây mê cục bộ hoặc toàn thân.
Các lựa chọn điều trị phụ thuộc vào loại ung thư, kích thước, vị trí và giai đoạn của ung thư, cũng như tuổi tác và sức khỏe chung của người đó. Các lựa chọn điều trị cho bệnh ung thư xương bao gồm:

Là phương pháp điều trị ung thư xương thông thường. Bác sĩ phẫu thuật có thể loại bỏ toàn bộ khối u hoặc cũng có thể sử dụng các kỹ thuật phẫu thuật đặc biệt để giảm thiểu số lượng mô khỏe mạnh bị loại bỏ cùng với khối u.
Là phương pháp điều trị sử dụng thuốc chống ung thư để tiêu diệt tế bào ung thư. Những bệnh nhân bị Ewing sarcoma hoặc sarcoma xương mới được chẩn đoán thường nhận được sự kết hợp của các loại thuốc chống ung thư trước khi tiến hành phẫu thuật.
Phương pháp này bao gồm việc sử dụng tia X năng lượng cao để tiêu diệt tế bào ung thư. Điều trị này có thể được sử dụng kết hợp với phẫu thuật hoặc không phẫu thuật. Nó thường được sử dụng để điều trị Ewing sarcoma .
Là sử dụng nitơ lỏng để làm đông lạnh và tiêu diệt tế bào ung thư. Kỹ thuật này đôi khi có thể được sử dụng thay vì phẫu thuật thông thường để tiêu diệt các khối u trong xương
Là việc sử dụng một loại thuốc được thiết kế để kết hợp với một phân tử cụ thể liên quan đến sự phát triển và lây lan của tế bào ung thư. Nó ngăn chặn sự phá hủy xương gây ra bởi một loại tế bào xương được gọi là tế bào hủy xương.
Một số cách ngăn ngừa ung thư xương như sau: