Hãy để lại số điện thoại để nhận tư vấn
Bài viết được tư vấn chuyên môn bởi Thầy thuốc ưu tú, bác sĩ Lê Thị Hải
U vòm họng lành tính thường phát triển chậm nhưng vẫn ảnh hưởng tới chất lượng cuộc sống của người bệnh. Chúng cũng là dấu hiệu cảnh báo về các bệnh lý liên quan tới tai mũi họng. Vì vậy người bệnh không nên chủ quan và cần nhận biết rõ các triệu chứng của các loại u vòm họng lành tính để có phương pháp điều trị đúng lúc, đúng cách.

Các loại u vòm họng lành tính
U vòm họng lành tính được hình thành dưới sự phát triển quá mức của các tế bào, nó tăng sinh lành tính và không có tình trạng dị sản. Đặc điểm chung của u lành tính thường phát triển chậm và không di căn hoặc không gây nguy hiểm tới tính mạng. Trong đó, các khối u lành tính ở vòm họng sẽ bao gồm:
Bệnh lý phổ biến đối với lứa tuổi dậy thì, đối tượng thường gặp nhất là nam giới ở độ tuổi từ 15 tới 25 tuổi. Khối u xơ này mặc dù lành tính nhưng dễ lan rộng, thậm chí có thể phá hủy xương, gây hại cho sức khỏe và tính mạng người bệnh nếu không được phát hiện và điều trị kịp thời.
Dấu hiệu trong giai đoạn đầu có thể là ngạt một bên mũi ngày càng tăng kèm chảy nước mũi, bên tắc mũi có thể chảy máu, tần suất chảy ngày càng gia tăng. Từ giai đoạn sau khối u lớn dần gây chèn ép lên các cơ quan lân cận dẫn tới tình trạng ù tai, nhức đầu, nghe kém…
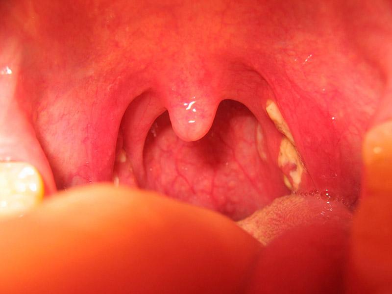
U vòm họng lành tính tiếp theo là viêm họng hạt, là một trong những dạng viêm họng mạn tính và hay gặp. Theo đó, viêm họng hạt thường chỉ phát hiện sau khi bệnh nhân mắc viêm họng hạt cấp.
Triệu chứng của viêm họng hạt thường bao gồm ngứa cổ, khó khăn khi nuốt thức ăn, vòm họng nổi các cục dưới dạng hạt li ti có màu đỏ hoặc màu hồng.
U nhú vòm họng là khối u vòm họng lành tính tồn tại dưới dạng khối sùi mềm, nhiều múi. Có thể bệnh nhân xuất hiện dấu các u này ở lưỡi gà hoặc ở amidan. Các triệu chứng mà u nhú vòm họng gây ra là ngứa cổ họng, vướng cổ họng làm ảnh hưởng tới việc ăn và nuốt thức ăn của người bệnh.
Hiện tượng viêm nhiễm kéo dài trong thời gian dài có thể khiến amidan trở nên to hơn so với cấu trúc bình thường, có thể có hốc với ranh giới rõ ràng. Triệu chứng của khối u vòm họng lành tính viêm amidan thường bao gồm ngủ ngáy, đục giọng, giọng nói ồm ồm, dễ mắc nghẹn, nôn và khó nuốt thức ăn.

Phương pháp điều trị u vòm họng lành tính
Với mục đích xác định rõ hiện tượng nổi u vòm họng lành tính, bạn nên tới các cơ sở Y tế chuyên khoa tai mũi họng hoặc bệnh viện để thăm khám, thực hiện nội soi tai mũi họng, chụp X-quang hoặc chụp CT vùng mũi xoang… Như vậy bác sĩ mới có thể xác định nguyên nhân và tình trạng bệnh từ đó chỉ định phương pháp điều trị hiệu quả. Trong đó, cách điều trị cho các u vòm họng lành tính thường bao gồm:
Trên đây là một số loại u vòm họng lành tính và các phương pháp điều trị mà chúng tôi muốn chia sẻ tới bạn đọc. Hy vọng bài viết này sẽ giúp bạn đọc có thể hiểu rõ hơn về các loại u lành tính, từ đó nhận biết và điều trị sớm.

Sản phẩm Fucoidan Care
Công ty Cổ phần THT Pharma đã nghiên cứu và cho ra đời sản phẩm Fucoidan Care. Đây là sự kết hợp độc đáo của 3 thành phần Fucoidan, Beta Glucan, nấm đông trùng hạ thảo giúp:
Fucoidan có tác dụng kích thích sản sinh tế bào bạch cầu, giúp tăng cường hệ miễn dịch của cơ thể. Hệ miễn dịch khỏe mạnh sẽ giúp cơ thể chống lại các tác nhân gây bệnh, bao gồm cả tế bào ung thư.
Fucoidan có tác dụng kích thích quá trình tự chết của tế bào ung thư (apoptosis). Apoptosis là một cơ chế tự nhiên của cơ thể giúp loại bỏ các tế bào bị tổn thương hoặc bất thường. Fucoidan cũng có thể giúp ngăn chặn sự di căn của tế bào ung thư.
Fucoidan có tác dụng bảo vệ tế bào khỏe mạnh khỏi tác hại của hóa trị, xạ trị. Hóa trị, xạ trị là những phương pháp điều trị ung thư phổ biến, nhưng có thể gây ra nhiều tác dụng phụ, chẳng hạn như mệt mỏi, buồn nôn, nôn, rụng tóc. Fucoidan có thể giúp giảm bớt các tác dụng phụ này, giúp bệnh nhân dễ dàng hơn trong quá trình điều trị.
Gọi ngay cho chúng tôi theo hotline: 0866205833 để được tư vấn chi tiết.